Dental Appliance Therapy in St. Petersburg, FL
Are you afraid to smile wide because people might be able to see the metal fillings in your teeth? Are you having problems with a failing amalgam filling?
Many patients come to Dental Dimensions in St. Petersburg, Florida, with these concerns, so you are not alone.
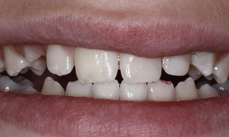
At Dental Dimensions, our filling material of choice is composite resin, a tooth-colored restoration. These fillings are 100% mercury-free and blend in beautifully with the natural shade of your teeth, which means that nobody will ever be able to see your fillings – even when you smile your widest and laugh.
Mercury in My Mouth?
Traditional metal fillings, also known as amalgam fillings, are composed of several metals, with elemental mercury making up about 50% of the total composition. As healthcare consumers become savvier and more knowledgeable, more people have expressed concern about having mercury in their mouths.
The Centers for Disease Control and Prevention (CDC) and the United States Department of Public Health both take these concerns seriously and have conducted multiple studies to determine whether metal fillings pose a health risk. The good news is that the mercury found in dental fillings is not chemically active, and no adverse health effects have ever been linked to amalgam dental fillings.
Even so, many of our patients would prefer not to have any mercury at all in their mouths, especially when a more esthetic restoration option is available.
The Benefits of Composite Fillings
In addition to being practically invisible as well as metal- and mercury-free, composite fillings have even more benefits.
Composite fillings allow for a more conservative preparation of your tooth prior to placing the filling material. This means less drilling and better preservation of healthy tooth material, which is always one of our goals.
Amalgam fillings require more healthy tooth structure to be removed before the filling material can be replaced in order to keep the filling in place. Amalgam fillings are notorious for causing cracks in teeth and fractures, which can result in loss of teeth. Patients often report that following the placement of amalgam fillings, they experience sensitivity to temperature because the metal works as a conductor of heat and cold. Another common problem with traditional metal fillings is that when a great deal of filling is needed, the entire tooth can become discolored and look gray.
We Look Forward to Welcoming You
At Dental Dimensions, you can choose a composite filling for your next restoration or we can replace failing amalgam fillings with composites to improve the appearance and seal of your tooth. Call us today to schedule an appointment and consultation.
Frequently Asked Questions
The Centers for Disease Control and Prevention and the United States Department of Public Health have conducted multiple studies and determined the mercury found in amalgam fillings is not chemically active. No adverse health effects have ever been linked to amalgam dental fillings.
In spite of the research available, many patients prefer composite, tooth-colored fillings either because they have metal allergies, want to avoid the appearance of dark fillings, or simply based on the presence of mercury. We respect the wishes of our patients and often talk to patients who want to replace their silver amalgam fillings with esthetic tooth-colored options.
An Alternative To Metal Fillings
If your fillings are breaking down, opting to replace them with composite makes perfect sense. It is important to remember that removing a large amalgam fillings may require restoration with a dental crown rather than a filling depending on how much tooth structure remains. Dr. Olvera will offer all of your options and the benefits of each so you can make the decision that works best for you.
Replacing metal fillings for cosmetic reasons may be part of a comprehensive smile makeover and can brighten the overall appearance of your teeth.
If you have questions about the metal components in your dentistry, give us a call! We will be happy to discuss your concerns with you.
Durable, tooth-colored composite fillings eliminate the need for visible metal components of dentistry. Composite fillings have four primary benefits that our patients appreciate:
1. Composite fillings blend into the natural tooth structure to become invisible.
Composite comes in a variety of tooth-colored options to complement the appearance of teeth. Because composite does not whiten in the same way as natural teeth, if you plan to whiten your teeth, doing so before fillings are placed will help ensure a good match.
2. Your tooth can be prepared more conservatively for a composite filling compared to an amalgam (silver) filling.
Silver amalgam fillings require the removal of more tooth structure to anchor to the tooth. Composite material bonds directly to the tooth structure, requiring only the removal of diseased or damaged portions of the tooth.
3. Most patients have less sensitivity following the filling procedure with composite fillings because composite fillings are not good conductors like their metal counterparts.
Tooth-colored fillings are also less susceptible to expansion and contraction with temperature changes.
4. Composite provides a solution for small cosmetic problems such as filling small chips or reshaping teeth.
Composite bonding is an affordable and non-invasive way to improve the appearance of teeth without complex procedures or multiple appointments.
Reach Out To Your Dentist
If you've got questions about fillings, don't hesitate to call your dentist. They will be happy to setup a consultation with you, and answer any questions that you may have regarding your dental health. For more information on fillings, and other dental procedures, call our St. Petersburg, FL dental office today!
Meet Our Doctor:
Jason M. Olvera DDS
Dr. Jason Olvera, a native of Davenport, Iowa, is a graduate of the University of Iowa College of Dentistry, where he received his Doctor of Dental Surgery in 2002. Dr. Olvera successfully passed the clinical board exams administered by the Central Regional Dental Testing Service in 2002, which is comprised of seventeen state boards of dentistry, and the Florida Dental Board Exam in 2004.
On a yearly basis, Dr. Olvera continues to take more continuing education hours than required by the State of Florida. Currently, Dr. Olvera travels to Atlanta ...