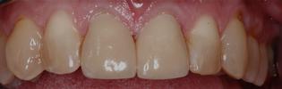
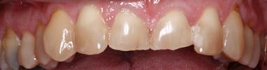
St Petersburg, Fl Smile Makeovers

Look through our smile gallery to see real results in real patients!

Improve your smile today – call to schedule a consultation!
Relaxed and Comforting Atmosphere

Just a quick note to express my appreciation to you and Nicky for the dental services you guys performed for me today. Since I have been out of the dental loop for thirty years, I really did not know what to expect. Needless to say, I was not only impressed with your professionalism, but also with the relaxed and comforting atmosphere of your office and staff. -- Mike Williams