Skip to main content
Dental Dimensions
A Great Dentist
Dental Dimensions
A Great Dentist
Schedule an appointment
Like us on Facebook
Visit us on Yelp
Watch our Youtube Videos
Leave a Google Review
(727) 384-3535
General and Esthetic Dentistry
Home
About
Our Team
Technology
Services
View All
Dental Exams & Cleanings
Gum Disease Prevention and Treatment
Dental Appliance Therapy
Tooth-Colored Composite Fillings
Dental Restorations
Dental Implant Restorations
Dentures and Partials
Teeth Whitening
Root Canal Therapy
Tooth Extractions
Smile Gallery
Testimonials
Forms
FAQs
View All
Other
Gum Disease Prevention and Treatment
Tooth-Colored Composite Fillings
Dental Restorations
Dentures and Partials
Root Canal Therapy
Tooth Extractions
Blog
Financial
Contact
Dental Dimensions
>
Smile Gallery
>
All-Ceramic Crowns
All-Ceramic Crowns
Return to Smile Gallery
Next
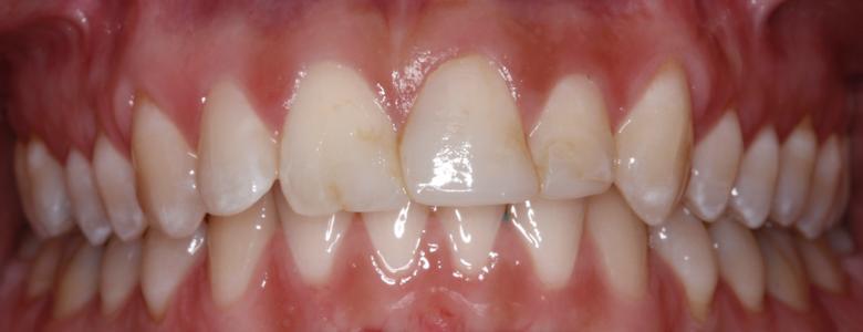
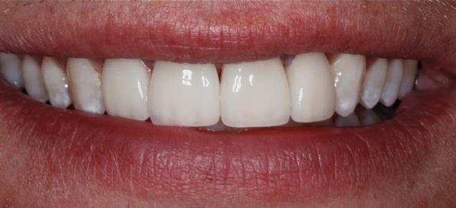
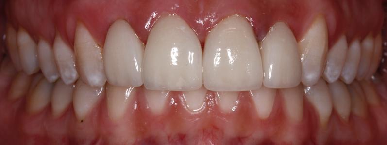
This patient's smile was improved by ceramic crowns.
Related Services:
Dental Restorations
Place mouse over picture to pause
Before
After
Before
After
Improve your smile today – call to schedule a consultation!
Claim Now!
OK!
×
×
Contact Us Today
Give Us A Call
Dental Dimensions -
(727) 384-3535
Send Us an Email
Request an Appointment
Contact Us
Ready to Schedule an Appointment?
Book Online
Have Questions? Contact Us:
Required Field
Your Name:
Phone:
Email:
Are you a new patient?:
Are you a?
New Patient
Current Patient
How would you like us to contact you?
Please choose
Email
Call
How did you hear about us?
Please choose
I'm an existing patient
Google/Bing
Mailer
Word of mouth
Social media
Other
Who Referred You?:
Appointment Preferences
Monday
Tuesday
Wednesday
Thursday
Friday
Your Message:
This site is protected by reCAPTCHA and the Google
Privacy Policy
and
Terms of Service
apply.
Sending...
×
This Patient's Experience
Loading Testimonial...
Loading Case...